Table of Contents
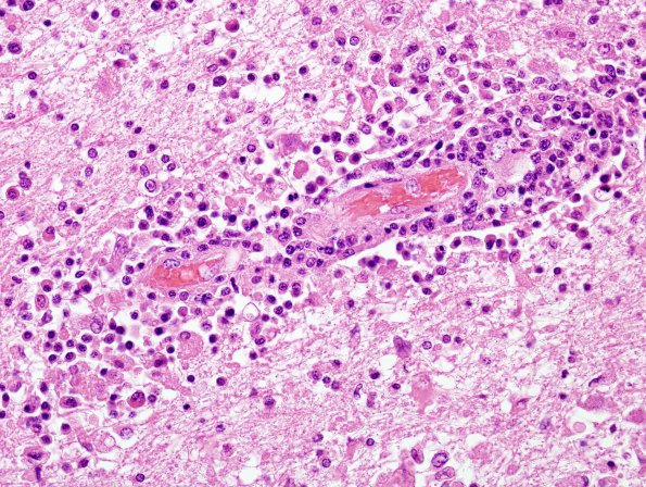
Washington University Experience | NEOPLASMS (HEMATOLYMPHOID) | Lymphomatoid Granulomatosis | 1B8 Lymphomatoid Granulomatosis (Case 1) H&E 5
1B8,9 The perivascular inflammatory infiltrate is heterogeneous with variable populations of neoplastic and reactive elements (H&E).
