Table of Contents



Washington University Experience | NEOPLASMS (HEMATOLYMPHOID) | Lymphomatoid Granulomatosis | 1B9 Lymphomatoid Granulomatosis (Case 1) H&E 6

1B9 Lymphomatoid Granulomatosis (Case 1) H&E 6
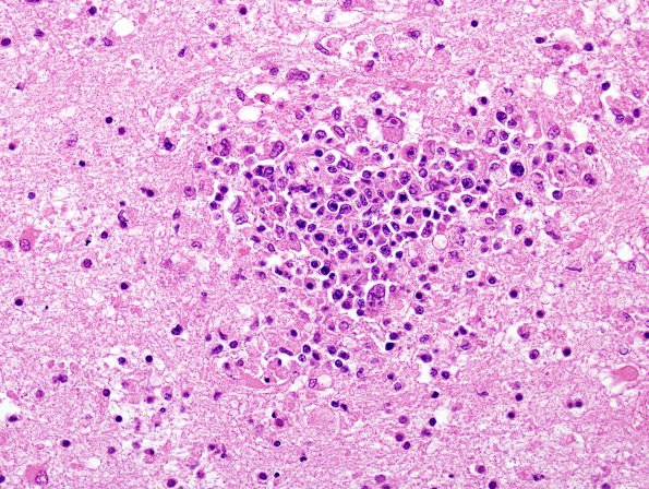
The perivascular inflammatory infiltrate is heterogeneous (H&E).


Gallery RSS RSS Feed | Archive View | Login | Powered by Zenphoto