Table of Contents



Washington University Experience | NEOPLASMS (HEMATOLYMPHOID) | Lymphomatoid Granulomatosis | 1D3 Lymphomatoid Granulomatosis (Case 1) CD79 1

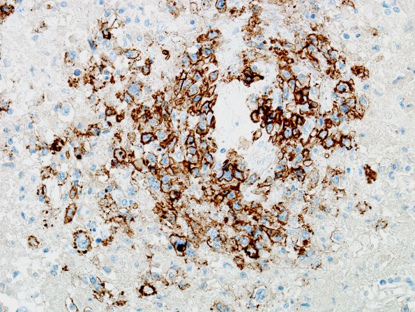
1D3 Lymphomatoid Granulomatosis (Case 1) CD79 1
The enlarged neoplastic B-cells are highly immunoreactive for CD79a. (CD79a IHC)


Gallery RSS RSS Feed | Archive View | Login | Powered by Zenphoto