Table of Contents
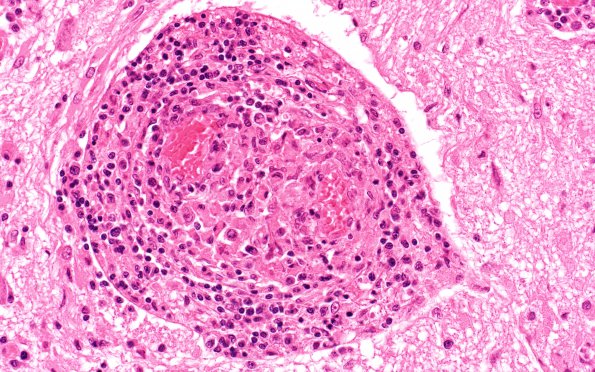
Washington University Experience | NEOPLASMS (HEMATOLYMPHOID) | Lymphomatoid Granulomatosis | 1K5 LYG Medulla N8 (Case 1) H&E WM 40X 2
A single vessel is shown (arrowhead on 1K4 at 2X) and here at 40X. Subsequent images of this vessel are stained with a variety of histochemical and immuno-histochemical techniques. (H&E)
