Table of Contents
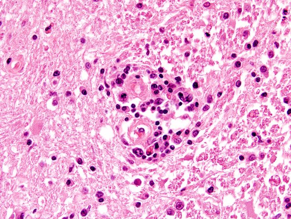
Washington University Experience | NEOPLASMS (HEMATOLYMPHOID) | Lymphomatoid Granulomatosis | 1M9 Lymphomatoid granulomatosis (Case 1) H&E 6
Various magnifications of another focus of the spinal cord with atypical cells and vascular pathology (H&E)
