Table of Contents



Washington University Experience | NEOPLASMS (HEMATOLYMPHOID) | Lymphomatosis cerebri | 1B3 Lymphomatosis cerebri (Case 1) H&E 5

1B3 Lymphomatosis cerebri (Case 1) H&E 5
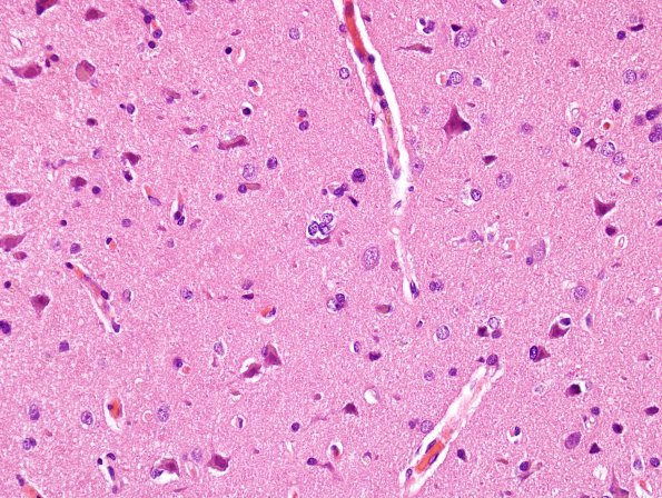
Typical cortical parenchyma shows a mild increase in overall cellularity (H&E)


Gallery RSS RSS Feed | Archive View | Login | Powered by Zenphoto