Table of Contents



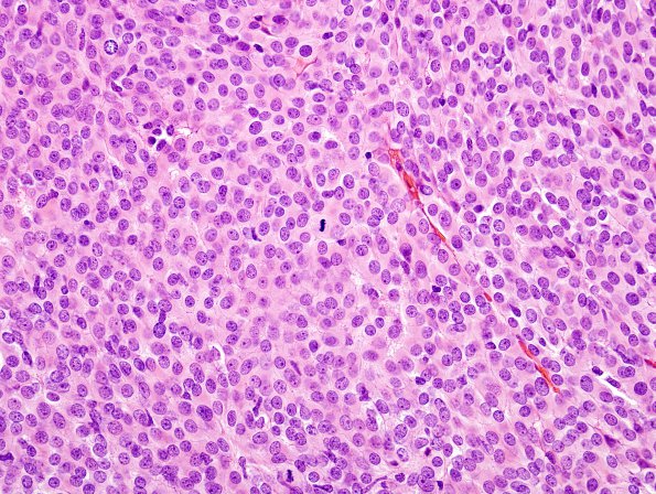
Washington University Experience | NEOPLASMS (MENINGIOMA) | Atypical | 2E2 Meningioma, atypical (Case 14) H&E 3

2E2 Meningioma, atypical (Case 14) H&E 3
Increased Mitotic Activity (>4 mitoses/10HPF)


Gallery RSS RSS Feed | Archive View | Login | Powered by Zenphoto