Table of Contents
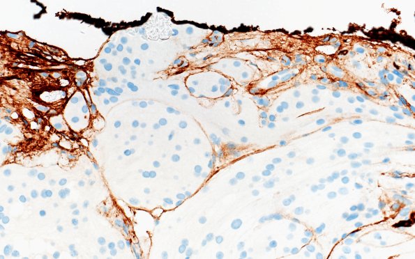
Washington University Experience | NEOPLASMS (MENINGIOMA) | Brain Invasion | 23A7 Meningioma, brain invasion (Case 23) GFAP 40X
There are scattered areas of brain parenchyma that are invaded by tumor which is highlighted by GFAP immunoreactivity. (GFAP IHC)
