Table of Contents
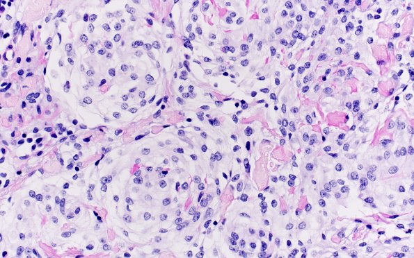
Washington University Experience | NEOPLASMS (MENINGIOMA) | Meningioma - Clear cell | 20D3 Clear cell meningioma (Case 20) PASW 40X 2
Diastase diminishes the PAS reactivity of individual tumor cells but not vascular wall staining (PAS-D)
