Table of Contents



Washington University Experience | NEOPLASMS (MENINGIOMA) | Meningioma - Fibrous | 2A3 Meningioma (Case 2) T2 W 1 - Copy

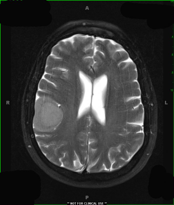
2A3 Meningioma (Case 2) T2 W 1 - Copy
The T2 image with contrast is slightly hyperintense compared to the adjacent cortex.


Gallery RSS RSS Feed | Archive View | Login | Powered by Zenphoto