Table of Contents
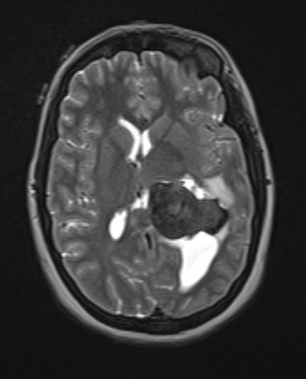
Washington University Experience | NEOPLASMS (MENINGIOMA) | Gross Pathology | 20A4 Meningioma, intraventricular T2W (Case 20) axial - Copy - Copy
This T2-weighted contrast administered image shows a variegated, largely hypointense image.
