Table of Contents
« prev
next »
Washington University Experience
|
NEOPLASMS (MENINGIOMA)
|
Gross Pathology
|
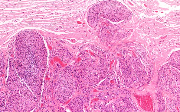
22C2 Meningioma (Case 22) 2X H&E N14 10X H&E
Brain invasion is seen at higher magnification.
Image Info
Camera Maker:
Olympus
Camera Model:
DP74
Shutter Speed:
7/12500 sec
Metering Mode:
Multi-Spot
Gallery RSS
|
Archive View
|
Login
|
Powered by
Zenphoto