Table of Contents
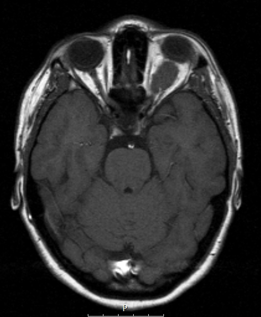
Washington University Experience | NEOPLASMS (MENINGIOMA) | Gross Pathology | 23A1 Meningioma, Optic nerve sheath (Case 23) Orbit axial T1 - Copy - Copy
Case 23 History ---- The patient was a 26-year-old woman with progressive vision loss in her left eye, accompanied by left retro-orbital pain for 8 years. Radiological imaging reveals a 2 X 1.2 cm uniformly enhancing mass in the left orbit, that appeared to track along the optic nerve, and had significantly increased in size over the last 7 years. Operative procedure: Cranio-orbital resection of left orbital / subarachnoid / optic canal mass, with orbital exenteration. ---- 23A1-3 A large optic nerve neoplasm is shown in T1-weighted absent contrast (23A1,A2) and T1-weighted with contrast (23A3)
