Table of Contents
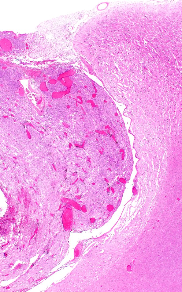
Washington University Experience | NEOPLASMS (MENINGIOMA) | Gross Pathology | 72E2 NCL (Case 72) H&E 2X
72E2,3 The right margin with the brain in image #72E1 is shown at several magnifications. There are a few remaining neurons containing ceroid/lipofuscin in the cortex. (H&E)
