Table of Contents
« prev
Washington University Experience
|
NEOPLASMS (MENINGIOMA)
|
Gross Pathology
|
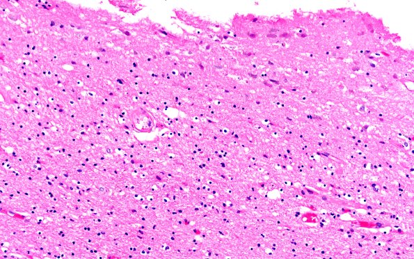
72E5 NCL (Case 72) H&E 20X
Almost no cortex remains in the deep margin of the meningioma with the brain which is mostly gliotic white matter. (H&E)
Image Info
Camera Maker:
Olympus
Camera Model:
DP74
Shutter Speed:
23/20354 sec
Metering Mode:
Multi-Spot
Gallery RSS
|
Archive View
|
Login
|
Powered by
Zenphoto