Table of Contents
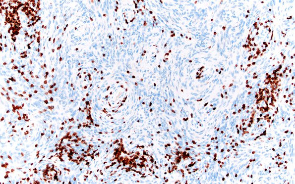
Washington University Experience | NEOPLASMS (MENINGIOMA) | Lymphoplasmacyte-rich | 2E3 Meningioma, Lymphoplasmacyte-rich (Case 2) CD3 20X 2
Various magnifications of the tumor shows perivascular and parenchymal T cell immunoreactivity. (CD3 IHC)
