Table of Contents
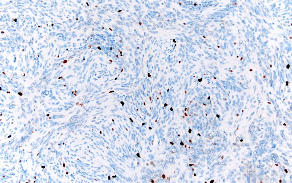
Washington University Experience | NEOPLASMS (MENINGIOMA) | Lymphoplasmacyte-rich | 2H Meningioma, Lymphoplasmacyte-rich (Case 2) Ki67 20X
The Ki-67 proliferation index is elevated due to the large number of inflammatory cells but is estimated to be <5% in the meningothelial component. ---- The collective features are consistent with lymphoplasmacyte-rich meningioma, CNS WHO grade 1.
