Table of Contents
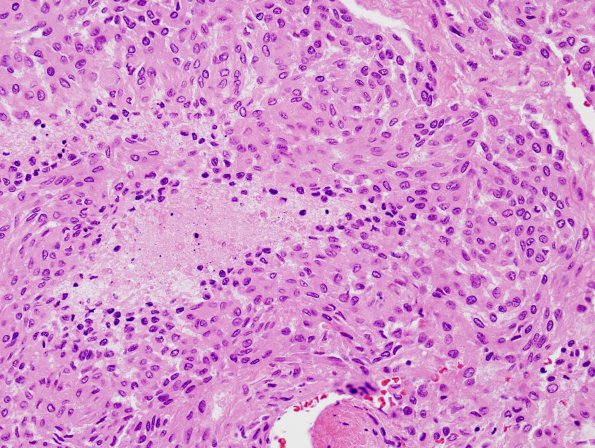
Washington University Experience | NEOPLASMS (MENINGIOMA) | Meningothelial | 10A1 Meningioma (Case 10) H&E 2
10A1,2 Spontaneous (tumors may be iatrogenically embolized prior to surgery to minimize bleeding) necrosis is another of several defining histologic elements resulting in a diagnosis of atypical meningioma.
