Table of Contents



Washington University Experience | NEOPLASMS (MENINGIOMA) | Meningothelial | 6A2 Meningioma (Case 6) EM 11 - Copy

6A2 Meningioma (Case 6) EM 11 - Copy
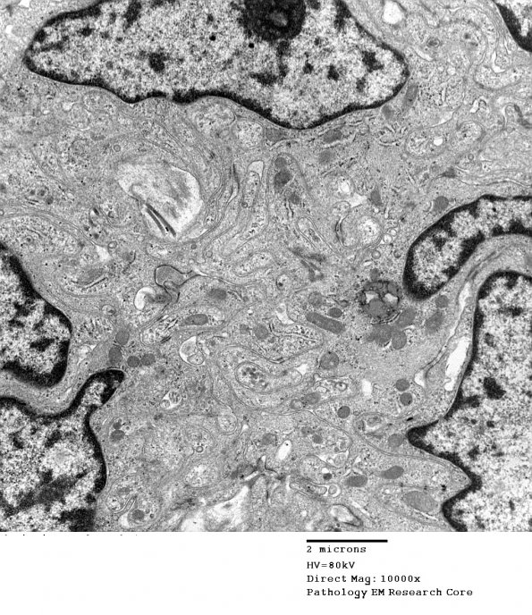
6A2,3 There are numerous junctions between processes and cell bodies (arrowheads, 6A3) (electron micrographs)


Gallery RSS RSS Feed | Archive View | Login | Powered by Zenphoto