Table of Contents



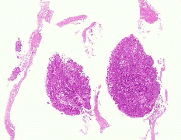
Washington University Experience | NEOPLASMS (MENINGIOMA) | Psammomatous | 4B1 Meningioma, numerous psammoma bodies (Case 4) H&E WM

4B1 Meningioma, numerous psammoma bodies (Case 4) H&E WM
Whole mount of the specimen shows its highly psammomatous constituents (H&E).


Gallery RSS RSS Feed | Archive View | Login | Powered by Zenphoto