Table of Contents
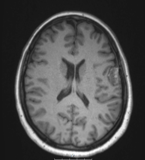
Washington University Experience | NEOPLASMS (MENINGIOMA) | Secretory | 17A2 Meningioma, lipidized (Case 17) T1noC - Copy
17A2,3 This T1-weighted image shows a patchy hyper- and isointense tumor mass without contrast (17A2) which enhances with contrast (17A3).
