Table of Contents



Washington University Experience | NEOPLASMS (MENINGIOMA) | Secretory | 17A3 Meningioma, lipidized (Case 17) T1W - Copy

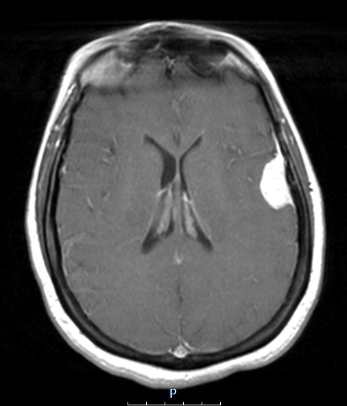
17A3 Meningioma, lipidized (Case 17) T1W - Copy
This T1-weighted image shows contrast enhancement.


Gallery RSS RSS Feed | Archive View | Login | Powered by Zenphoto