Table of Contents
« prev
next »
Washington University Experience
|
NEOPLASMS (MENINGIOMA)
|
Secretory
|
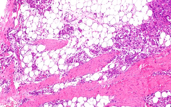
17C2 Meningioma, lipidized (Case 17) 1
There is extensive lipidization of tumor cells as well as presence of secretory material. (H&E)
Image Info
Camera Maker:
Olympus
Camera Model:
DP74
Shutter Speed:
29/47541 sec
Metering Mode:
Multi-Spot
Gallery RSS
|
Archive View
|
Login
|
Powered by
Zenphoto