Table of Contents
« prev
next »
Washington University Experience
|
NEOPLASMS (MENINGIOMA)
|
Secretory
|
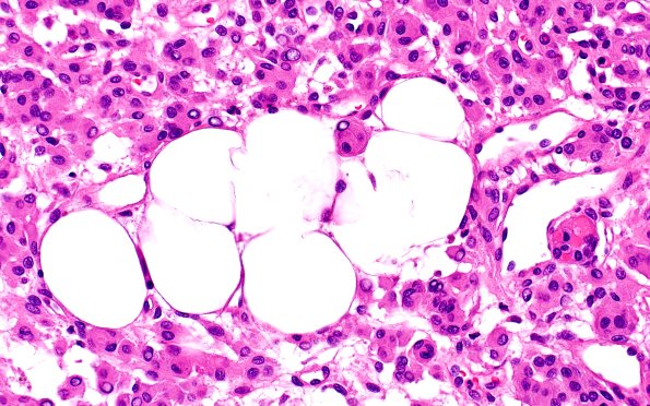
17C5 Meningioma, lipidized (Case 17) 40X 2
17C5,6 Higher magnification images show fat within tumor cells. (H&E)
Image Info
Camera Maker:
Olympus
Camera Model:
DP74
Shutter Speed:
36/7045 sec
Metering Mode:
Multi-Spot
Gallery RSS
|
Archive View
|
Login
|
Powered by
Zenphoto