Table of Contents
« prev
next »
Washington University Experience
|
NEOPLASMS (MENINGIOMA)
|
Secretory
|
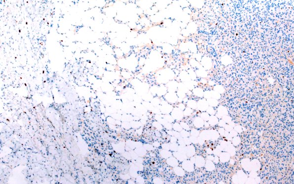
17F1 Meningioma, lipidized (Case 17) Ki67 10X
17F1,2 Ki-67 proliferation index is low, estimated up to 1.8% (Ki67 IHC).
Image Info
Camera Maker:
Olympus
Camera Model:
DP74
Shutter Speed:
23/50000 sec
Metering Mode:
Multi-Spot
Gallery RSS
|
Archive View
|
Login
|
Powered by
Zenphoto