Table of Contents
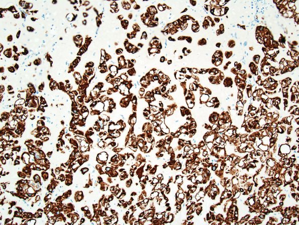
Washington University Experience | NEOPLASMS (MESENCHYMAL, NON-MENINGOTHELIAL) | Chordoma | 15C Chordoma, chondroid (Case 15) CK 1.jpg
The tumor cells are strongly immunoreactive for cytokeratin (15C), epithelial membrane antigen (15D) and S100 protein (15E). The morphologic and immunohistochemical features are consistent with the diagnosis of chordoma, chondroid variant.
