Table of Contents
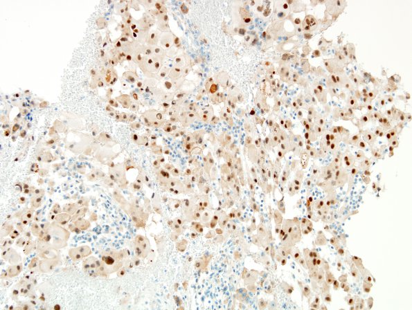
Washington University Experience | NEOPLASMS (MESENCHYMAL, NON-MENINGOTHELIAL) | Chordoma | 5B1 Chordoma (Case 5) Brachyury 3
5B-E Immunoperoxidase stains were performed. ---- The tumor cells are strongly immunoreactive for brachyury (5B1,2) cytokeratin CAM5.2 (5C), and S100 protein (5D1,2).
