Table of Contents
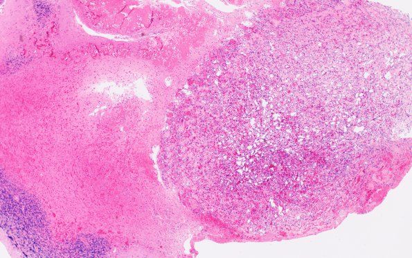
Washington University Experience | NEOPLASMS (MESENCHYMAL, NON-MENINGOTHELIAL) | Hemangioblastoma | 11A1 Hemangioblastoma (Case 11) H&E 4X 2
Case 11 History ---- The patient is a 6-year-old boy with worsening headache and vomiting for a week with positive bilateral nystagmus and left cranial nerve 12 palsy. Brain imaging studies showed a predominantly cystic, enhancing extra-axial mass involving the left cerebellopontine angle, which exerts mass effect upon the pons and cerebellum with extension into the 4th ventricle. There is also mild ventriculomegaly with prominent cavum septum pellucidum. He underwent EVD placement with fenestration of septum pellucidum cyst and biopsy. He subsequently underwent a posterior fossa craniotomy for tumor resection on 9/30. Operative procedure: Fenestration of septum pellucidum cyst with biopsy. ---- 11A1-3 A small focus of hemangioblastoma with numerous vessels and vacuolated stromal cells is shown. (H&E)
