Table of Contents
« prev
next »
Washington University Experience
|
NEOPLASMS (MESENCHYMAL, NON-MENINGOTHELIAL)
|
Hemangioblastoma
|
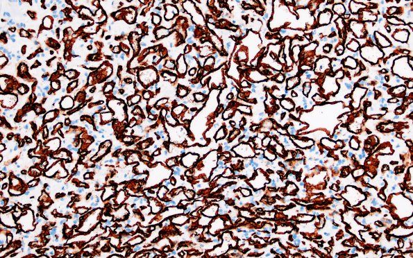
11B2 Hemangioblastoma (Case 11) CD34 20X
Marked vascularity of the tumor is shown (CD34 IHC)
Image Info
Camera Maker:
Olympus
Camera Model:
DP74 #1
Shutter Speed:
9/7438 sec
Metering Mode:
Average
Gallery RSS
|
Archive View
|
Login
|
Powered by
Zenphoto