Table of Contents
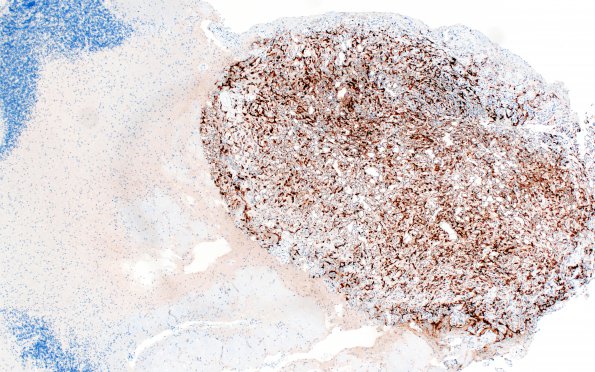
Washington University Experience | NEOPLASMS (MESENCHYMAL, NON-MENINGOTHELIAL) | Hemangioblastoma | 11D1 Hemangioblastoma (Case 11) Inhibin 4X
11D1,2 Inhibin alpha immunoreactivity in the tumor stromal elements is shown (Inhibin-alpha IHC)
