Table of Contents
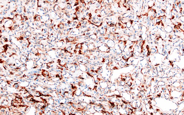
Washington University Experience | NEOPLASMS (MESENCHYMAL, NON-MENINGOTHELIAL) | Hemangioblastoma | 11D2 Hemangioblastoma (Case 11) Inhibin 20X
Inhibin alpha immunoreactivity in the tumor stromal elements is shown (Inhibin-alpha IHC)
