Table of Contents



Washington University Experience | NEOPLASMS (MESENCHYMAL, NON-MENINGOTHELIAL) | Hemangioblastoma | 1A3 (Case 1) T1W Crop - Copy

1A3 (Case 1) T1W Crop - Copy
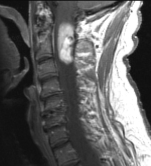
A T1-weighted image with contrast, showing marked tumor enhancement.


Gallery RSS RSS Feed | Archive View | Login | Powered by Zenphoto