Table of Contents
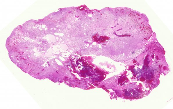
Washington University Experience | NEOPLASMS (MESENCHYMAL, NON-MENINGOTHELIAL) | Hemangioblastoma | 1C1 Hemangioblastoma (Case 1) H&E WM
1C1-5 This is a vascular neoplasm composed of large vacuolated, lipidized interstitial (stromal) cells separated by numerous capillary and larger sized vessels. No significant mitotic activity is seen.
