Table of Contents



Washington University Experience | NEOPLASMS (MESENCHYMAL, NON-MENINGOTHELIAL) | Hemangioblastoma | 1C4 Hemangioblastoma (Case 1) H&E 3

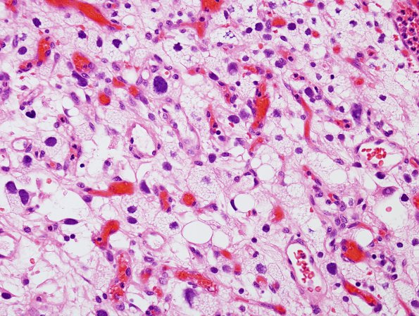
1C4 Hemangioblastoma (Case 1) H&E 3
Higher magnification of image #1C3. (H&E)


Gallery RSS RSS Feed | Archive View | Login | Powered by Zenphoto