Table of Contents



Washington University Experience | NEOPLASMS (MESENCHYMAL, NON-MENINGOTHELIAL) | Hemangioblastoma | 1C5 Hemangioblastoma (Case 1) H&E 8

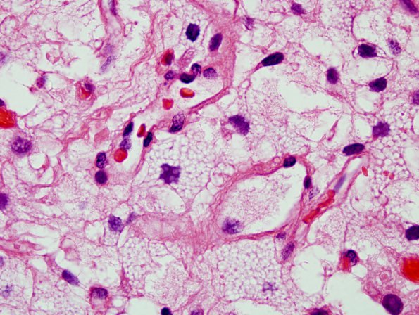
1C5 Hemangioblastoma (Case 1) H&E 8
Higher magnification of image #1C4. (H&E)


Gallery RSS RSS Feed | Archive View | Login | Powered by Zenphoto