Table of Contents
Washington University Experience | NEOPLASMS (MESENCHYMAL, NON-MENINGOTHELIAL) | Hemangioblastoma | 2A3 Hemangioblastoma (Case 2) T2 with contrast - Copy
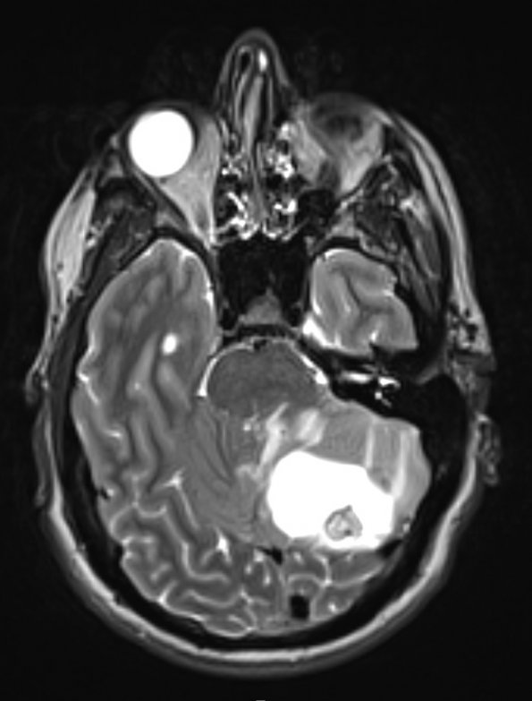
A T2-weighted scan with contrast illustrates a hyperintense cyst and a less intense mural nodule.
