Table of Contents
« prev
next »
Washington University Experience
|
NEOPLASMS (MESENCHYMAL, NON-MENINGOTHELIAL)
|
Hemangioblastoma
|
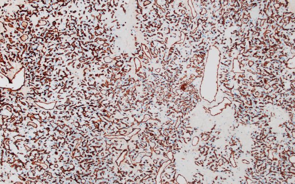
2C Hemangioblastoma (Case 2) CD31 2
CD31 highlights an extensive vascular proliferation within the tumor. (CD31 IHC)
Image Info
Camera Maker:
Olympus
Camera Model:
DP74 #1
Shutter Speed:
14/27451 sec
Metering Mode:
Average
Gallery RSS
|
Archive View
|
Login
|
Powered by
Zenphoto