Table of Contents
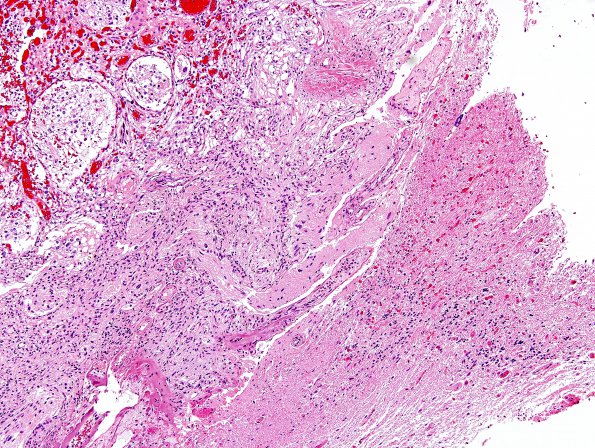
Washington University Experience | NEOPLASMS (MESENCHYMAL, NON-MENINGOTHELIAL) | Hemangioblastoma | 3B2 Hemangioblastoma (Case 3) H&E 2B
The margin of the tumor (arrowhead, 3B1) with surrounding brain tissue shows prominent gliosis and numerous Rosenthal fibers.
