Table of Contents
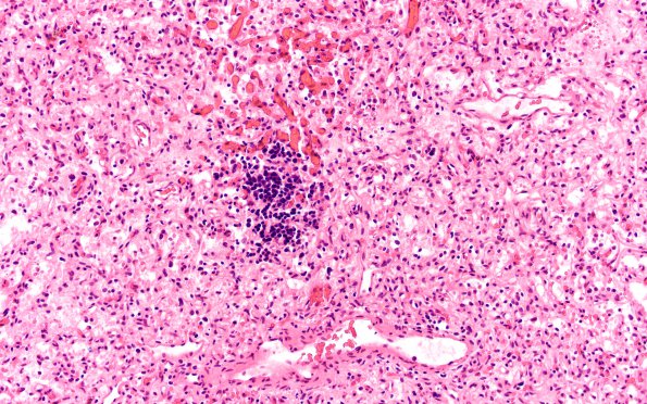
Washington University Experience | NEOPLASMS (MESENCHYMAL, NON-MENINGOTHELIAL) | Hemangioblastoma | 4B2 Hemangioblastoma (Case 4) H&E 5 EMH
4B2,3 There are small foci of extramedullary hematopoiesis, seen at higher magnification in 4B3 (H&E).
