Table of Contents
Washington University Experience | NEOPLASMS (MESENCHYMAL, NON-MENINGOTHELIAL) | Hemangioblastoma - Von Hippel Lindau | 21A1 Metastasis, renal origin (Case 21) H&E 3
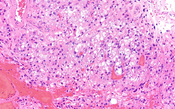
Case 21 History ---- The patient is a 62-year-old man with a history of renal cell carcinoma which has metastasized to the right femur and brain status post gamma knife. Operative procedure: Left craniotomy for resection/biopsy of brain tumor. ---- 21A1-3 Sections show a metastatic carcinoma with extensive necrosis. The tumor cells have large nuclei, prominent nucleoli, occasional intranuclear inclusions, and eosinophilic to clear cytoplasm.
