Table of Contents
Washington University Experience | NEOPLASMS (MESENCHYMAL, NON-MENINGOTHELIAL) | Hemangioblastoma - Von Hippel Lindau | 22A1 Metastasis, renal (Case 22) H&E 3.jpg
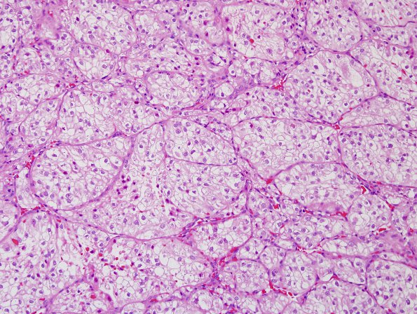
Case 22 History ---- The patient is a 72-year-old woman who presented with a C3 and C4 pathologic fracture with an associated soft tissue mass. Operative procedure: C3-C4 occipital to cervical core fusion. ---- 22A1,2 Sections of the spinal vertebrae show sheets of metastatic carcinoma, characterized by large and vesicular nuclei, prominent nucleoli, with clear cytoplasm, in a nested pattern. The tumor cells involve marrow space and cartilaginous bone.
