Table of Contents



Washington University Experience | NEOPLASMS (MESENCHYMAL, NON-MENINGOTHELIAL) | Hemangioblastoma - Von Hippel Lindau | 9C2 Hemangioblastoma, VHL (Case 9) Inhibin 2

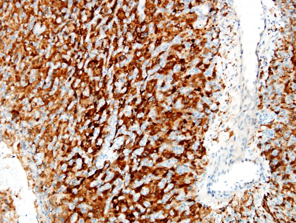
9C2 Hemangioblastoma, VHL (Case 9) Inhibin 2
Inhibin strongly stains stromal cells (Inhibin IHC)


Gallery RSS RSS Feed | Archive View | Login | Powered by Zenphoto