Table of Contents
Washington University Experience | NEOPLASMS (MESENCHYMAL, NON-MENINGOTHELIAL) | Solitary Fibrous Tumor (SFT) | 15D Hemangiopericytoma, Gr III (Case 15) MIB 3
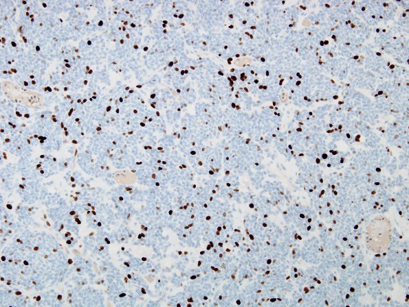
Proliferative activity is high (Ki-67 IHC). Staining for CD99 shows faint, patchy positivity within the tumor. Based on histomorphologic features and immunostaining profile this neoplasm is most consistent with a recurrent hemangiopericytoma, WHO grade 3.
