Table of Contents



Washington University Experience | NEURODEGENERATION | ALS | 13H4 ALS (Case 13H) Bunina Body H&E 1

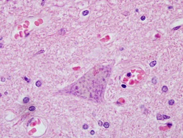
13H4 ALS (Case 13H) Bunina Body H&E 1
Neuron loss in the anterior horn with numerous Bunina bodies. (H&E)


Gallery RSS RSS Feed | Archive View | Login | Powered by Zenphoto