Table of Contents



Washington University Experience | NEURODEGENERATION | ALS | 15F2 FTLD-ALS (Case 15) LFB-PAS N10 1A

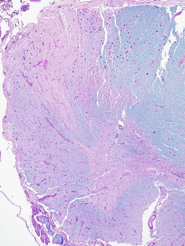
15F2 FTLD-ALS (Case 15) LFB-PAS N10 1A
Degeneration of the lateral corticospinal tract (LFB-PAS)


Gallery RSS RSS Feed | Archive View | Login | Powered by Zenphoto