Table of Contents
« prev
next »
Washington University Experience
|
NEURODEGENERATION
|
ALS
|
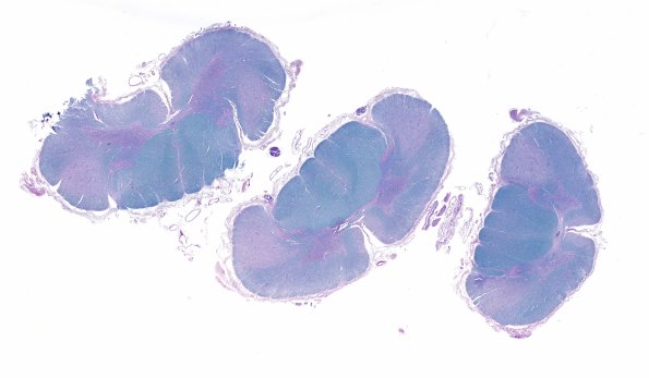
17C ALS (Case 17) N10 LFB-PAS WM
The lateral and anterior corticospinal tracts show myelin loss. (LFB-PAS),
Image Info
Camera Maker:
Nikon
Camera Model:
Nikon COOLSCAN V ED
Gallery RSS
|
Archive View
|
Login
|
Powered by
Zenphoto