Table of Contents
Washington University Experience | NEURODEGENERATION | ALS | 1C2 ALS (Case 1) N12 LFB-PAS 2X 1 copy.jpg
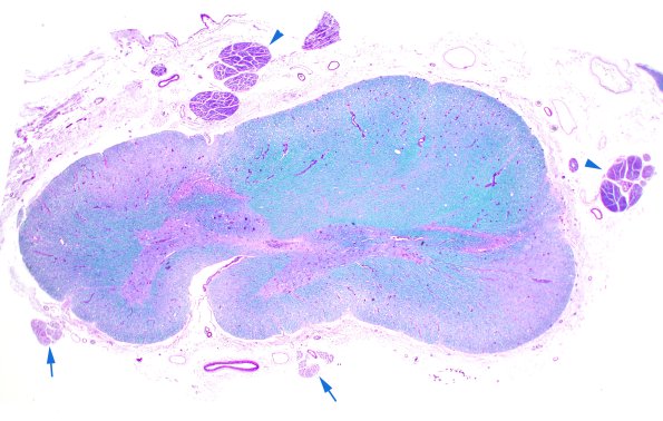
This low magnification image of a thoracic cord specimen stained for myelin shows lateral corticospinal tract pallor. Notice the relative size difference between dorsal (arrowheads) and depopulated ventral (arrows) roots. (LFB-PAS)
