Table of Contents



Washington University Experience | NEURODEGENERATION | ALS | 1C4 ALS (Case 1) N12 LFB-PAS VR 20X 1

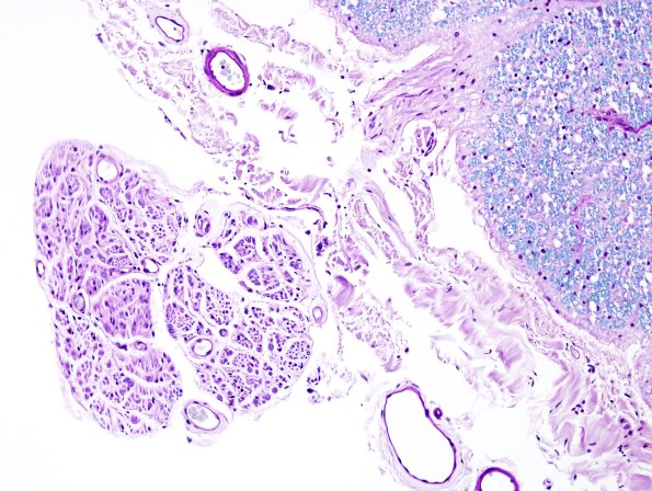
1C4 ALS (Case 1) N12 LFB-PAS VR 20X 1
Notice the size, pallor and axon loss in the ventral root. (LFB-PAS)


Gallery RSS RSS Feed | Archive View | Login | Powered by Zenphoto