Table of Contents
« prev
next »
Washington University Experience
|
NEURODEGENERATION
|
ALS
|
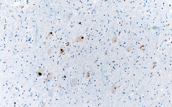
20C2 ALS (Case 20) N12 TDP43 20X 3
TDP43 immunostains showed scattered intracytoplasmic motoneuron inclusions in the anterior horn. (TDP43 IHC)
Image Info
Camera Maker:
Olympus
Camera Model:
DP74
Shutter Speed:
37/45679 sec
Metering Mode:
Multi-Spot
Gallery RSS
|
Archive View
|
Login
|
Powered by
Zenphoto