Table of Contents
« prev
next »
Washington University Experience
|
NEURODEGENERATION
|
ALS
|
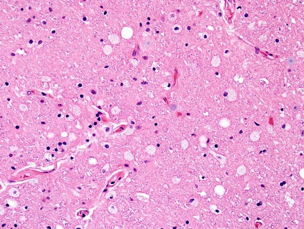
3D ALS (Case 3) N10 Lat CS tract 1.jpg
3D There are numerous macrophages and pallor in the lateral corticospinal tracts (H&E)
Image Info
Camera Maker:
Olympus Corporation
Camera Model:
DP70
Original Time Taken:
22-04-2014
Shutter Speed:
1/242 sec
ISO Sensitivity:
200
Metering Mode:
Spot
Gallery RSS
|
Archive View
|
Login
|
Powered by
Zenphoto